Jeudi 17 décembre 2026

Le bridge collé cantilever postérieur en céramique :

une alternative crédible à l’implantologie justifiée par questions-réponses

avec Jean-Pierre ATTAL et Philippe FRANÇOIS

Intercontinental Paris Champs Elysées, 64 avenue Marceau 75008 PARIS Accueil dînatoire à partir de 19h30

  • MCU-PH en Biomatériaux / Université Paris-Cité

    Chef d'équipe Biomatériaux UMR 1333 Santé Orale

    Membre Fondateur du Groupe Raphaël Formation (GRF)

    Membre du Groupe international Bio-Emulation

  • MCU-PH en Biomatériaux / Université Paris cité

    Membre de l'UMR 1333 Santé Orale Equipe Biomatériaux

    Membre du Groupe international Bio-Emulation

Résumé :

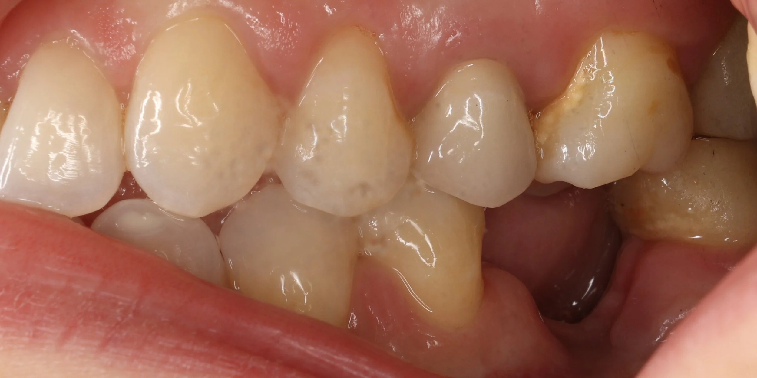
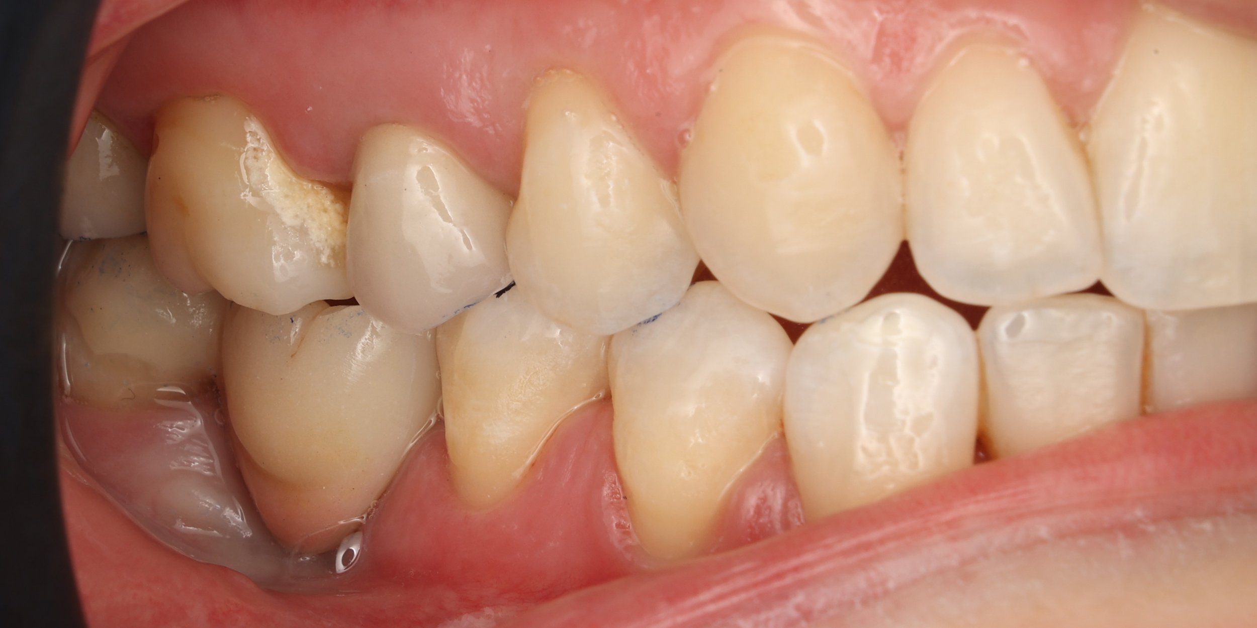
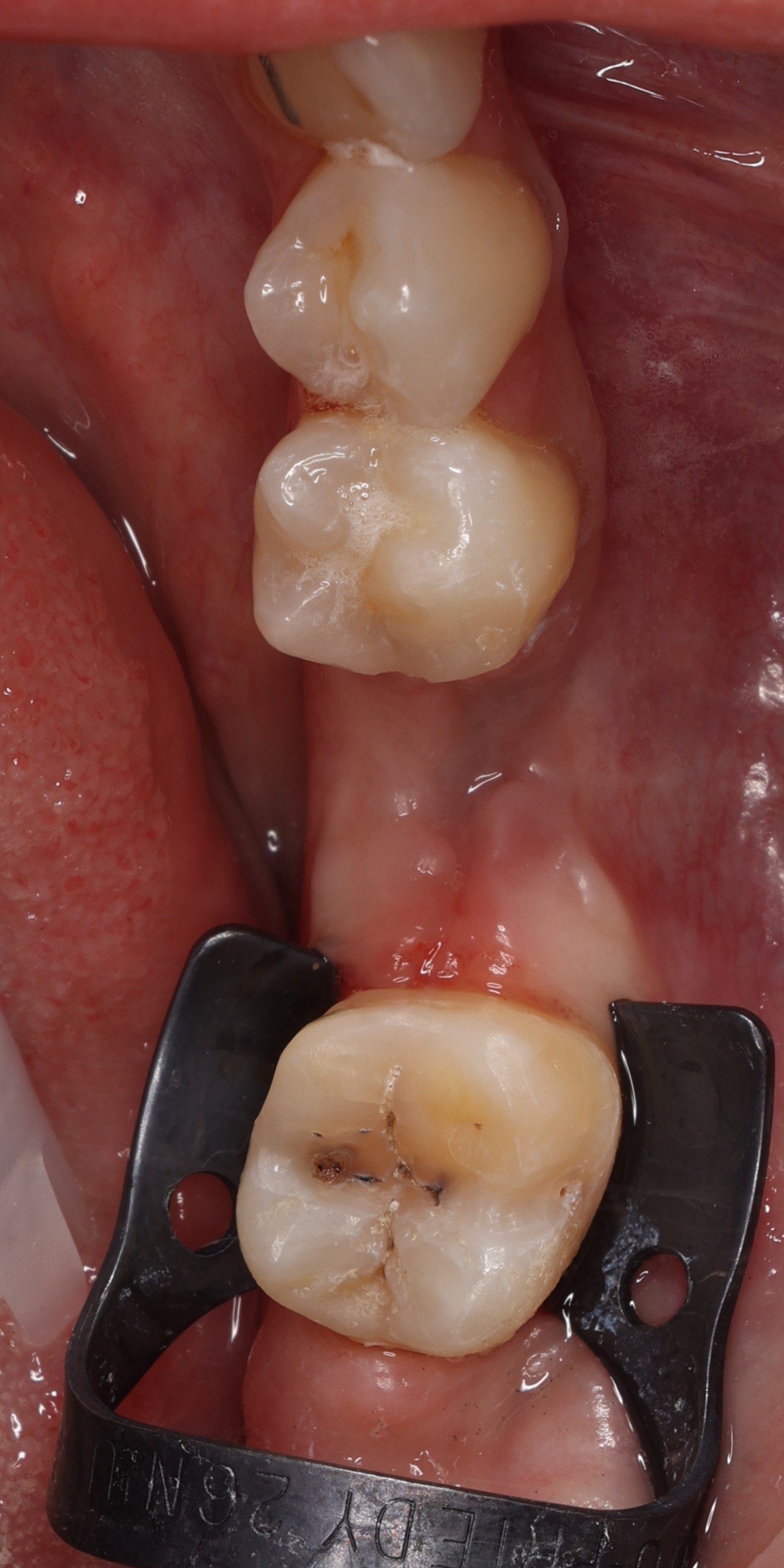
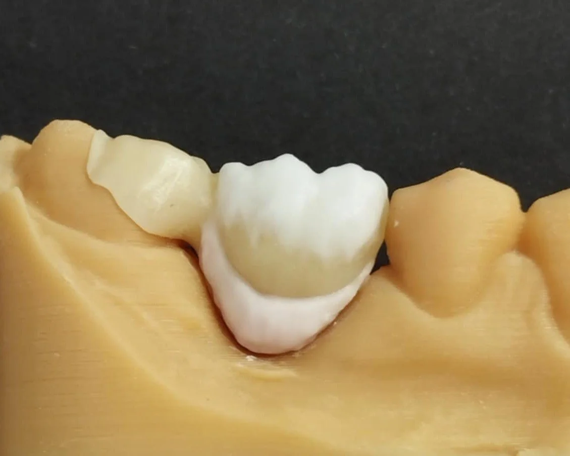
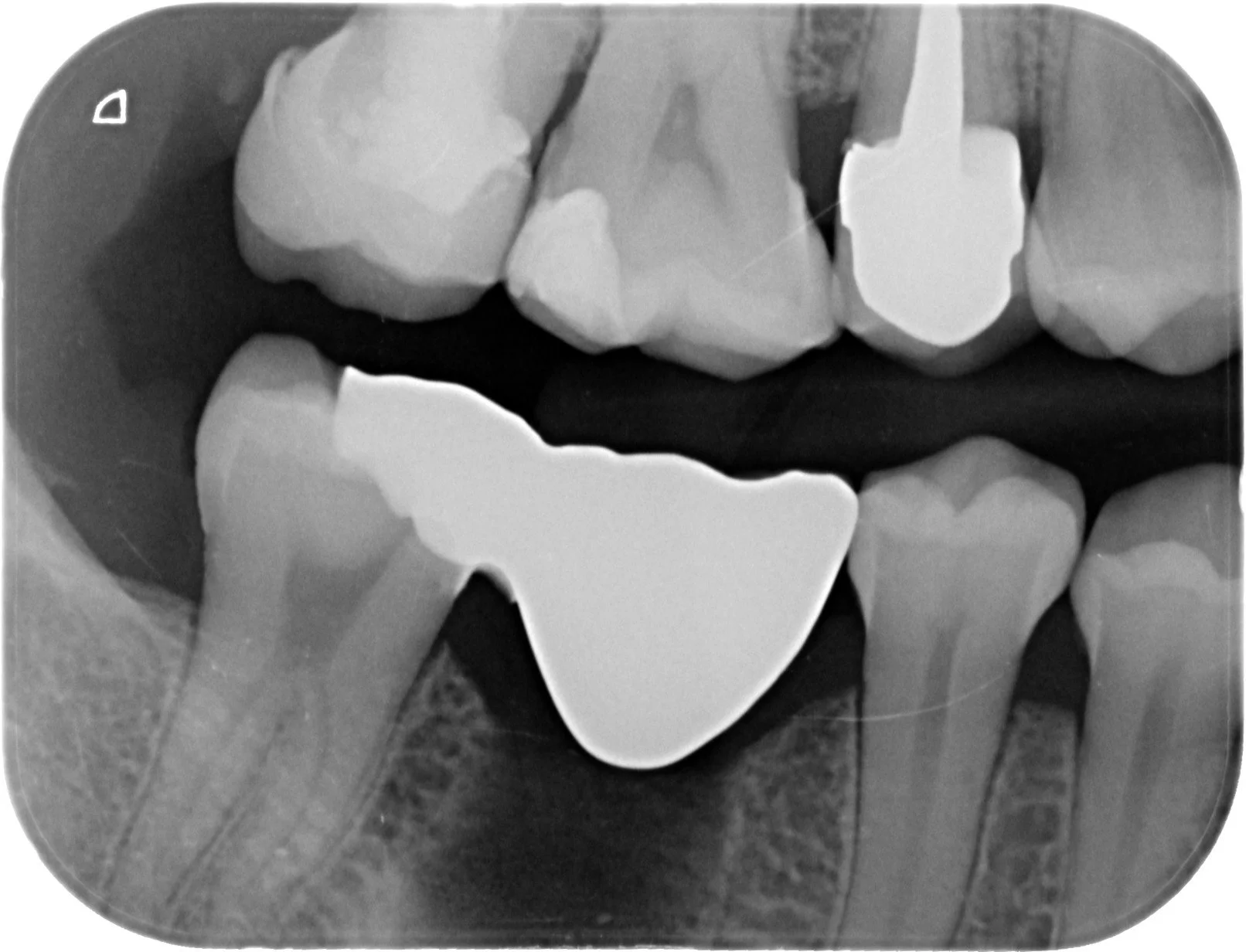
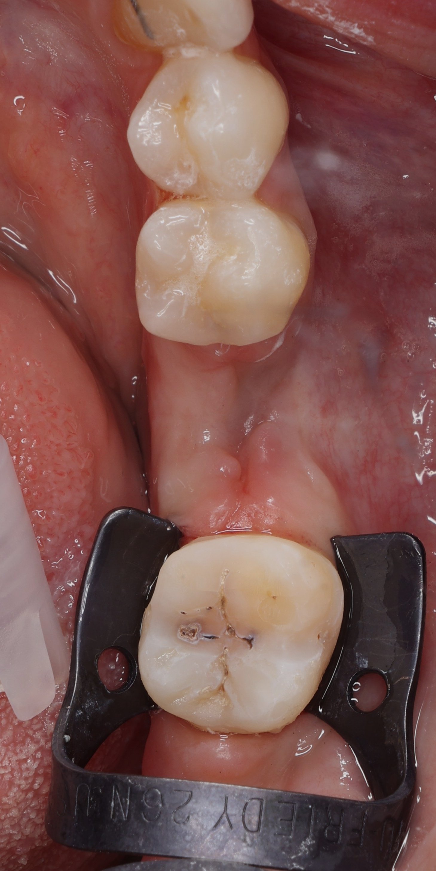
Relativement récents, les bridges collés cantilever postérieurs constituent une alternative fixe, fiable et véritablement minimalement invasive aux implants dans les secteurs postérieurs. Cette thérapeutique qui repose sur des indications bien précises est parfois débattue avec passion sur les réseaux sociaux ou dans les congrès scientifiques. Cependant des études cliniques existent, tout comme des recommandations validées dans des journaux internationaux. Leur succès repose sur des préparations et des principes biomécaniques rigoureux, pourtant simples à intégrer au quotidien. Cette intervention propose un guide clair et opérationnel incluant indications, étapes clés, protocoles d’adhésion et réglages occlusaux pour les mettre en œuvre avec confiance et reproductibilité.

Je m’inscris