Jeudi 28 mars 2024

L’apport du numérique aux restaurations implanto portées : pour une pratique quotidienne simplifiée

Une conférence présentée par Jean-François CHOURAQUI

Jeudi 28 Mars, Alpha Oméga Paris a reçu Jean-François CHOURAQUI pour une belle soirée consacrée au numérique.

Un grand merci à tous les participants et à nos fidèles partenaires : Biotech Dental, Bitton Matériel Dentaire, Direct Fraise, DPI, Geistlich Pharma, Global D, Henry Schein, Labocast, Eurotecknika, Mégadental, Pierre Fabre Oral Care, Sunstar, Vatech, Yelo Dental et Zimvie.

Pitch :

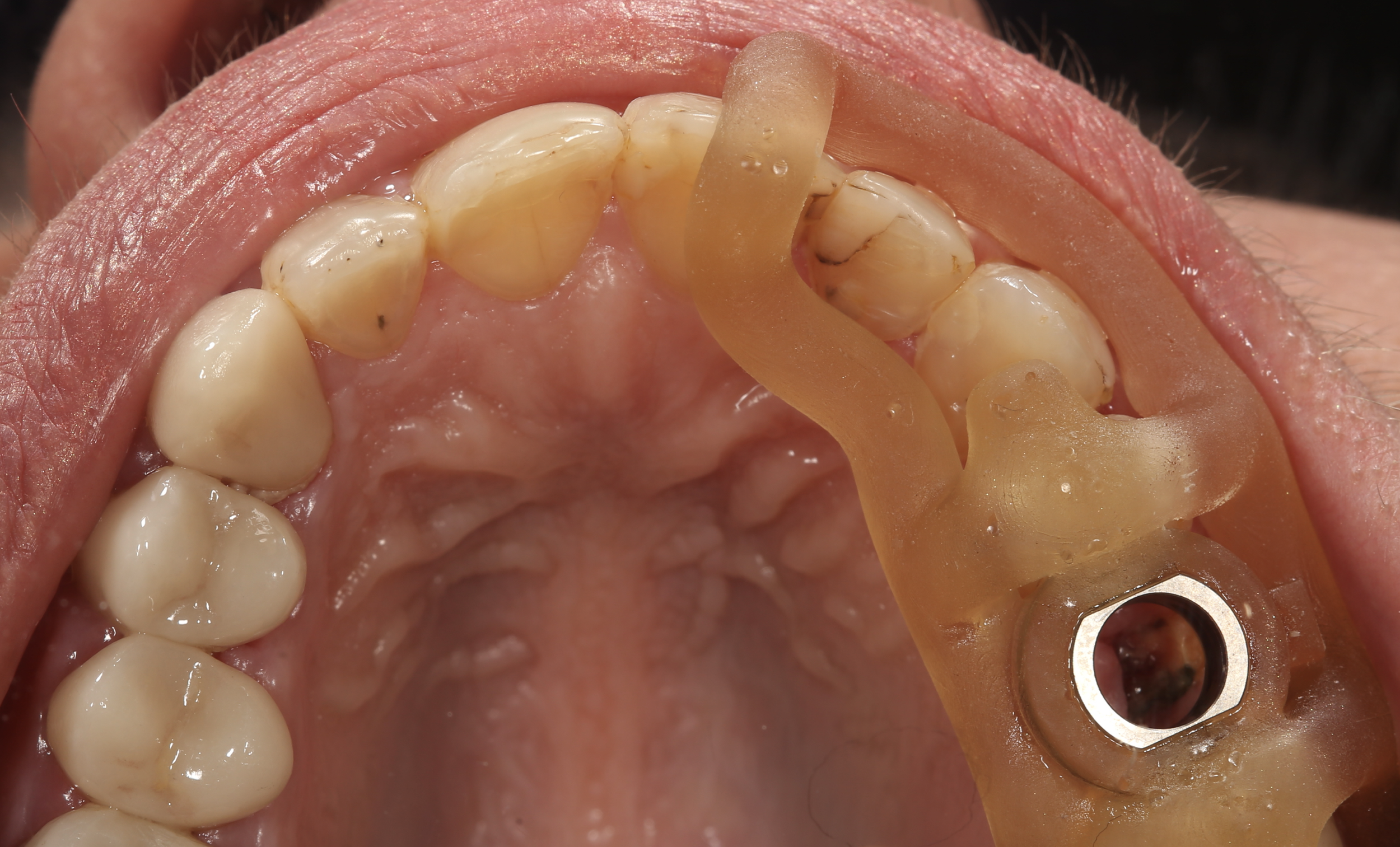
Si la chirurgie guidée facilite et sécurise le geste implantaire, elle est surtout l’occasion, pour le praticien qui réalisera la prothèse, de valider les axes et les émergences des implants. 

La planification, préalable indispensable à la chirurgie guidée est donc un outil essentiel de la communication entre les équipes chirurgicales et prothétiques.

Jean-François Chouraqui est Docteur en chirurgie dentaire. Depuis 2019, il est formateur dans la société Dental Laser Academy qu’il a co-fondée. Depuis 2017, il est maître de stage au Diplôme Universitaire d’Implantologie d’Evry. En 2015 il co-fonde l’Institut de formation continue DigitalTouch, dont il est président. Il est également responsable, depuis 2012, des formations initiales au Cerec pour Paris et la région Centre.

DÉTAILS PRATIQUES

Intercontinental Marceau, 64 Avenue Marceau 75008 PARIS

Horaires prévisionnels :

A partir de 19h30 : Accueil buffet dînatoire
20h30 : début des conférences
21h30 : pause buffet sucré
22h00 : Conférences partie II
23h15 : fin de la soirée

Inscription Obligatoire

Conférence incluse dans la cotisation 2024

Non adhérent : 160 euros - Paiement sur Helloasso

Gratuit pour les étudiants

INSCRIPTION EN LIGNE